虫歯などで歯を削った後は詰め物・被せ物で治療する必要がありますが、その中でも見た目にこだわった治療は「審美歯科治療」と呼ばれます。審美歯科治療の中でも特に詰め物・被せ物に使われる「セラミック」と呼ばれる素材を使ったセラミック治療は、天然歯に近い見た目や汚れがつきにくい機能性などから、多くの方が利用する素材です。
芸能人やアスリートの中にも、セラミック治療によって前歯を綺麗に整えたと公言する方がおられますが、中には度を超えて白く見えたり・形状が不自然に見えるというような評価されることも多く、「セラミック治療=不自然」と思っている方も少なくありません。
セラミックによって治療した前歯の見た目が不自然になる理由は主に2つあり、「色味の不自然さ」・「形状の不自然さ」が挙げられます。これらの要因によって不自然さや違和感を感じてしまうことがありますが、客観的に不自然に見える場合にも、ほとんどの場合で治療には本人の同意を得ていと考えられるため、「治療の結果不自然になってしまった」というよりも「ご自身の美しいと思う感覚に合わせて治療した」と考えるのが正しいでしょう。
当院で詰め物・被せ物治療を行う際は、保険診療・自由診療の選択から素材による見た目・色の違いなど、患者様に応じた提案をさせていただきます。特に見た目が重要になる前歯の色調や形でお悩みの方は、お気軽にご相談ください。
アップル歯科京都河原町 歯科医師
歯のお悩みの中で、前歯の見た目が悪いという理由で来院される方は多くおられます。もちろん、美しく綺麗な色味にする場合は費用負担の大きい自由診療が多くなってきますが、「高額だから綺麗」というだけではなく、より機能的であったり、より周りの歯と調和した補綴物を作ることも可能になります。
この記事ではセラミックの被せ物が不自然に見えてしまう理由や、改善方法などについて詳しく掲載しているので、見た目にこだわった審美歯科治療を検討中の方はぜひ参考にしてみてください。
天然の歯は白色一色ではなく、少し黄色味がかっていてグラデーションがついており、主に日本人の歯は赤茶色ベースの色合いである事が多いです。特に、見た目が重要になる前歯のセラミック治療で使う素材の色味は、治療の前に他の歯と照らし合わせたり、患者様の希望を伺って決定します。
一般的には不自然と話題になる歯は青白い見た目であり、ご自身の天然歯の自然な色合いからかけ離れすぎていると不自然に見えやすいです。ただし、ホワイトニングも併用する場合は、ホワイトニング後の歯の白さを考慮して今の歯の色よりも数段高い白さを被せ物で再現することもあります。
色が不自然になる理由.1
ひとくくりにセラミックの詰め物・被せ物といっても、素材によって出しやすい色や透明感は違います。セラミックは薄い部分の透明感を出しやすく天然の歯に近い見た目を実現できますが、透明感が高すぎると、歯の内側に立てる芯(コア)の色味が目立つ場合があります。
セラミックの中でもジルコニアと呼ばれる素材は色の選択肢や透明感がセラミック素材より劣りますが、透けを抑える事で素材本来の色味を活かしやすいです。他にも素材の強度がそれぞれ異なるなど、歯の見た目にこだわる場合は費用だけでは決められない特徴がいくつかあるため、事前によく調べる事が重要です。
色が不自然になる理由.2
被せ物が白ければ全てセラミックという訳ではなく、近年ではプラスチック素材にセラミックの粉末を混ぜた安価な白い被せ物や、保険診療の範囲で作る事ができる白い前歯の被せ物など、セラミック治療ではない白い歯も増えてきました。
ただし、プラスチック素材は吸水性が高く変色しやすい・欠けやすいなど、前歯の見た目にこだわりたい方にとっては大きなデメリットもあり、一概に「白いからキレイ」とは言えません。どのような素材で治療を受けるのかは治療前にしっかり確認が必要です。
色が不自然になる理由.3
セラミック治療を受ける際は、装着する被せ物の綺麗さだけを考えて治療を行うと、周囲の歯との調和が取れずに不自然さが際立ってしまう場合があります。治療後にセラミックの色味を変えるのは困難なため、事前のカウンセリングが非常に重要です。
極端に白い歯を入れることも、周囲の歯に合わせてわざと汚れ(ステイン)をデザインすることもできますが、基本的には患者様の要望によって決定されています。
歯の見た目の美しさは色味以外にも、形状がとても重要になります。もちろん、歯の形状は個人差が大きいため患者様ごとに個別で決める必要はありますが、美しく見える一定の基準があるため、実際にお口の中と照らし合わせながら調整を行っていきます。
また、歯の形状を考える際は、笑った時に見える唇を含めた見た目や、歯茎付近の歯肉の形なども設計する必要があります。歯の形だけを追求してしまうと、お口全体で見た時に不調和が起きる場合があるため、こちらも事前の診断が重要になります。
形状が不自然になる理由.1
前歯の縦と横の長さの比率が崩れていると不自然に見えやすいです。一般的には縦横比が5:4、縦の長さを100とした時、横の長さは75〜80くらいになる時に自然な前歯に見えやすいと言われています。
比率のバランスが崩れる例として、すきっ歯の前歯を無理やり被せ物を大きくする事でカバーしようとしたり、下がってしまった歯茎を改善せずに被せ物を製作すると、前歯の縦横比が崩れて不自然になりやすくなります。
形状が不自然になる理由.2
前歯〜犬歯までの3歯の大きさのバランスが崩れていると、不自然に見えやすいです。前方から見た時の大きさは黄金比で表される事が多く、中切歯:1.6、側切歯:1.0、犬歯:0.6程度の大きさだと自然に見えると言われています。
歯の大きさのバランスが崩れる例として、側切歯(2番目の前歯)には矮小歯と呼ばれる極端に小さな歯になる症状が出やすかったり、歯並びが悪いと八重歯などの影響で犬歯が極端に大きく見えてしまう場合もあるため、被せ物治療や矯正治療などによって包括的に治療を行わないと不自然になりやすいです。
形状が不自然になる理由.3
歯の縁にあたる歯肉の形状が下がりすぎていると不自然に見えやすいですが、審美歯科治療で見落とされがちな部分でもあります。一般的には、対になる左右の歯の歯肉の位置が同じ高さで揃っていると自然に見えやすいです。
前歯は外傷や歯周病よる影響で歯茎の位置が下がりやすいため、場合によっては歯肉移植などの審美的な歯周外科治療が必要になる事があります。しかし、医院によっては歯周外科治療が専門外の領域になる場合があり、被せ物治療・歯周外科治療を包括的に行える歯科医院で治療することが重要です。
「セラミック治療は不自然」という情報だけ聞くと、セラミックの歯は自然な見た目にする事ができないと思われるかもしれませんが、話題になる不自然な見た目のセラミック治療はあえて極端な白さにしている場合が多く、セラミック治療が見た目をコントロールできない訳ではありません。
そしてなにより、自然に作られたセラミックの歯は、他人がセラミックの歯だと気づかないような自然な見た目にできるため、言われなければ治療しているかどうかさえ分からない場合が多いです。写真の口腔内は、左上の前歯のみセラミック治療を行なっていますが、一見して被せ物であるとは気づかないほどの自然さに仕上がっています。
自然なセラミックの歯にする方法.1
不自然な形や見た目にならないように、被せ物の形状を治療前に確認するようにしましょう。近年ではデジタル技術の進歩により、治療前に自分の顔と歯の3Dイメージを確認することもできるようになりました。
歯科医師・患者様の両方の視点から治療前に歯のイメージを確認することで、自然な見た目の被せ物が実現できます。
自然なセラミックの歯にする方法.2
どんなに美しいセラミックの歯でも、周囲の歯と色の調和が取れていなければ不自然に見えてしまいます。セラミックの種類によって色調には差が出るため、歯の色味を事前に確認するようにしましょう。
選んだ治療のプランによっては、周囲の歯に合わせた自然なステイン(汚れ)を付けることもできるため、より自然な見た目のセラミック治療が可能になります。
自然なセラミックの歯にする方法.3
歯茎の位置が下がりすぎている場合や、多く付きすぎている場合は、適切な歯周外科治療を受けることでより美しい見た目を目指す事ができます。
当院では、下がった歯茎を改善する歯肉移植手術や、多すぎる部分を取り除く歯肉切除などにも対応しており、被せ物治療と一緒に包括的な審美歯科治療ができます。
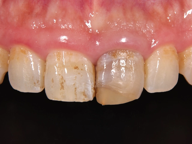
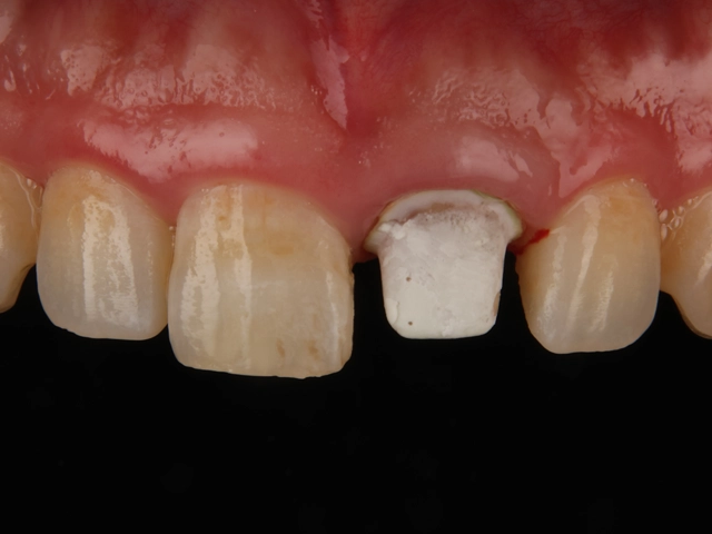
前歯が過去の交通事故により失活しており、見た目を気にされて来院されました。レントゲンによる確認で、歯の根っこ付近に病巣が確認されたため、歯の神経も取り除く必要があると判断しました。
また、神経を取り除いた歯は内側の黒ずみが発生するリスクがあるため、将来的に黒ずみが目立たないように透過性の低いジルコニアセラミッククラウンを使用することになりました。
レントゲンによる確認で、前歯の根っこに
不適切な補綴物による見た目の不調和もありますが、歯の神経が死んでしまったり、歯の根の治療をした際に残った血液や神経の一部を放置していると、歯の色が黒ずんでしまい見た目に影響を与える場合があります。
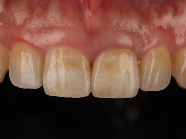
不適切な補綴物で不自然に見えていた前歯が、周囲の歯の色と調和の取れたセラミックの歯によって、審美性を改善することができました。
今後は予防歯科と経過観察を続けることで歯の健康をサポートしていきます。
| 治療の内容 | 精密根管治療と、ジルコニアセラミッククラウンによる補綴治療 |
|---|---|
| 期間・回数 | 4ヶ月・7回 (カウンセリング・検査含む) |
| 費用 | 自由診療: 前歯の精密根管治療 50,000円(税込55,000円) + ジルコニアセラミッククラウン 160,000円(税込176,000円) 総額 210,000円(税込231,000円) |
| リスク ・ 副作用 |
精密根管治療のリスク・副作用
セラミック治療のリスク・副作用
|
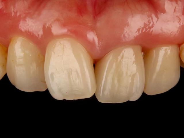
保険診療の白い被せ物の見た目が気になり来院されました。保険診療で利用される白い被せ物「前装冠」は、金属フレームの前面にだけ白いプラスチック素材を付ける事で白く見せていますが、経年劣化などにより内側のフレームが見えて、審美性が下がる可能性があります。
歯茎付近に見えていた黒い線(金属フレーム)が解消され、周囲の歯の色と調和の取れたジルコニアセラミックの歯によって、審美性を改善することができました。また、歯の先端の形状も隣の前歯に合わせて対照的な形状に調整しているため、より自然な仕上がりとなっています。
今後は予防歯科と経過観察を続けることで歯の健康をサポートしていきます。
| 治療の内容 | ジルコニアセラミッククラウンによる補綴治療 |
|---|---|
| 期間・回数 | 3ヶ月・5回 (カウンセリング・検査含む) |
| 費用 | 自由診療: ジルコニアセラミッククラウン 160,000円(税込176,000円) 総額 160,000円(税込176,000円) |
| リスク ・ 副作用 |
セラミック治療のリスク・副作用
|
当院で行うセラミック治療は、虫歯によって歯が失われた場合や、不良な補綴物によって著しく審美性が損なわれた歯に対して治療を行なっております。一方で、健康な歯を削って形状や色味を整える「セラミック矯正」という治療を提供している歯科医院も存在します。結論からいうと、健康な歯を大幅に削って綺麗にするセラミック治療は、健康面でのリスクが非常に大きいため、お勧めはできません。また、矯正という言葉を使っているものの、歯並び矯正のような効果はなく、逆にそれが原因で数年後にトラブルが起こる可能性もあります。
セラミック矯正は「素早く綺麗な歯が手に入る」という点が大きなメリットですが、健康な歯の神経を取り除き、被せ物で置き換えるという治療法のため、健康な歯質・歯髄を大きく失い歯の寿命を著しく削ることになります。当院ではお口の健康に問題がない範囲でセラミックによる歯列や咬み合わせの改善を行うことはありますが、歯の形や色味が気になる場合は、より健康的で持続性のある歯並び矯正治療やホワイトニング治療をお勧めしています。
一方で、歯は健康だけど形や色が気になるという患者様も多くおられます。そういった患者様には、セラミック治療の前に「歯並び矯正治療」や「ホワイトニング」をお勧めしています。特に、歯並び矯正は見た目やお顔全体の印象改善だけでなく、咬み合わせや清掃性など、健康的な側面でも恩恵の大きな治療です。
当院では歯並び矯正治療を考えている患者様に対して、無料の歯並び矯正相談を行なっております。
相談の場で治療を進めるかどうか、決める必要はございません。ご自身の歯や資料をご覧になりながら、どのような矯正治療が可能なのか理解を深めていただく機会としてお気軽にご利用ください。
前歯の色味や形状・歯並びを改善する審美歯科治療や歯並び矯正治療は、ほとんどが自由診療となるため、歯科医院選びに慎重になる方が多くおられます。当院では、虫歯や歯周病を改善する治療はもちろん、美しく健康に過ごしたいと考える患者様のための審美歯科治療も提供しています。
セラミック治療や歯並び矯正治療で不自然な見た目になる事がないように、事前の検査・カウンセリングを行なったうえで治療に臨ませていただきます。歯の見た目でお悩みの方はぜひ当院にお越しください。
京都・四条河原町で審美歯科治療ならアップル歯科京都河原町へ
ご予約はかんたんWEB予約が便利です
この記事の編集・責任者は歯科医師の東原彩人です。
歯科医師 東原 彩人

歯のセラミック治療が不自然になる理由。自然な見た目に改善できる? | 公開日: 2025/12/09 | 更新日: 2025/12/09 | by
| 曜日 | 月 | 火 | 水 | 木 | 金 | 土 |
|---|---|---|---|---|---|---|
| 診療開始 | 9:30 | 9:30 | 休診 | 9:30 | 9:30 | 9:30 |
| 診療終了 | 18:30 | 18:30 | 休診 | 18:30 | 18:30 | 17:00 |
休診日:日曜・祝日 ※日曜・祝日診療は下記診療カレンダーをご覧下さい。
| 日 | 月 | 火 | 水 | 木 | 金 | 土 | ||||||||||||||
|---|---|---|---|---|---|---|---|---|---|---|---|---|---|---|---|---|---|---|---|---|
| ||||||||||||||||||||
| ||||||||||||||||||||
| ||||||||||||||||||||
| ||||||||||||||||||||
| ||||||||||||||||||||
休診日
日曜・祝日診療
臨時診療日
大阪・兵庫・福岡で約8万人が利用する歯科医院が京都に!