「前歯に白い斑点があって、笑うときに気になる」「歯磨きを頑張っても消えない」そんなお悩みを抱えている方は少なくありません。
前歯にできる白い斑点は「ホワイトスポット」と呼ばれ、いくつかの原因が考えられます。セルフケアだけでは改善しにくい場合も多いですが、軽度のホワイトスポットであれば、歯を削らずに目立たなくできる治療法があります。
この記事では、白い斑点の正体とその原因と、「アイコン」というほとんど削らない治療法を中心にご紹介します。
前歯にできる白い斑点は「ホワイトスポット」と呼ばれ、周囲の歯と色が異なるために目立ちやすく、見た目を気にされる方が多くいます。
ホワイトスポットにはいくつかの原因があり、原因によって適した対処法も異なります。
正常な歯とホワイトスポットがある歯では、光の反射の仕方が異なります。
健康なエナメル質は透明度が高く、光がまっすぐ通過するため自然な色に見えます。一方、形成不全のエナメル質や初期虫歯の部分はミネラル成分が少なく、内部に細かな空隙があるため、光が乱反射してしまいます。
この乱反射が、その部分だけ白く浮いて見える原因です。つまりホワイトスポットは「汚れ」ではなく、歯の内部構造の変化によるものなのです。
虫歯は進行すると歯に穴が開きますが、そのさらに手前の段階で、歯の表面のミネラルが溶け出す「脱灰(だっかい)」が起きることがあります。この脱灰が前歯の白い斑点として目に見える形で現れます(※1)。
脱灰の段階であれば、フッ素によるケアで歯の修復(再石灰化)が期待できる場合もあります。
ただ、見た目だけで初期虫歯なのか他の原因なのかを見分けるのは難しいため、気になったときは歯科医院で一度診てもらうのが確実です。
※1)ホワイトスポット病変(WSLs)は、エナメル質脱灰の最も早期の徴候です。
歯の表面を覆うエナメル質は、小児期に体の中で作られます。この時期に何らかの影響を受けると、エナメル質の一部が十分に形成されず、白い斑点として歯に残ることがあります。
このタイプのホワイトスポットは「エナメル質形成不全」に分類され、虫歯とは異なり歯そのものの構造的な問題です。そのため、毎日の歯磨きやホワイトニングといったケアだけで目立たなくすることは難しいとされています。
「子どもの頃からずっとある」という白い斑点は、これに当てはまる可能性があります。
ごく軽度の脱灰(初期虫歯)が原因であれば、フッ素入りの歯磨き粉や歯科医院でのフッ素ケアで再石灰化が進み、白い斑点が薄くなることもあります。
しかし、実際のところ、前歯の白い斑点の多くはセルフケアだけで消えるホワイトスポットはごく僅かです。
例えばエナメル質形成不全によるものは歯の構造に由来しているため、どれだけ丁寧に磨いても白い部分はそのまま残ってしまいます。ホワイトニングで周囲を白くしても、かえって斑点との差が目立つこともあります。
「何年も前から気になっていて、自分ではどうにもならない」という方は、歯科医院で相談することをおすすめします。
ホワイトスポットの原因が浅い場合、ほとんど歯を削らずに改善できる治療法があります。ここでは、削らない治療を中心にご紹介します。
アイコンは、ホワイトスポットの原因が浅い場合に、ほとんど歯を削らずに改善できる治療法です(表面一層程度削ります)。
歯の表面に特殊な樹脂を浸透させることで、白く濁った部分の光の屈折を変え、周囲の歯に近い見た目に改善します。
麻酔も不要で、1回の来院で完了できることが多いため、痛みや通院回数が気になる方にも選ばれています。
ただし、ホワイトスポットの状態によっては効果が十分に出ない可能性もあるため、事前の診断が大切です。
アイコン治療に用いる薬剤
ホワイトスポットが深い、あるいは範囲が広い場合は、アイコンだけでは十分な改善が得られないケースもあります。
斑点がやや深い場合は歯科用樹脂を用いたダイレクトボンディング、広範囲にわたる場合はセラミックの薄いシェルを貼り付けるラミネートベニアといった選択肢もあります。
それぞれの治療法の詳しい特徴や費用については、下記のページで解説しています。
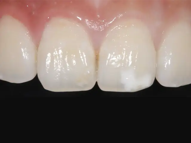
Before
After
| 治療内容 | アイコンによる軽度ホワイトスポットの治療 |
|---|---|
| 期間 | 1週間(2回※カウンセリング含む) |
| 費用 | 自由診療 税込30,000円(2歯)+施術費3,000円(税込総額36,300円) |
| リスク・副作用 |
|
前歯の白い斑点は、原因によって適した治療法が異なります。
まずは歯科医院で原因を確認し、ご自身の状態に合った方法を知ることが改善への第一歩です。
軽度のホワイトスポットであれば、アイコンのように歯を削らずに改善できる治療法もあります。
「前歯の白い斑点がずっと気になっている」「歯磨きやホワイトニングでは変わらなかった」という方は、お気軽にご相談ください。
この記事の編集・責任者は歯科医師の東原彩人です。
歯科医師 東原 彩人

| 曜日 | 月 | 火 | 水 | 木 | 金 | 土 |
|---|---|---|---|---|---|---|
| 診療開始 | 9:30 | 9:30 | 9:30 | 9:30 | 9:30 | 9:30 |
| 診療終了 | 18:30 | 18:30 | 13:00 | 18:30 | 18:30 | 17:00 |
休診日:日曜・祝日 ※日曜・祝日診療は下記診療カレンダーをご覧下さい。
| 日 | 月 | 火 | 水 | 木 | 金 | 土 | ||||||||||||||
|---|---|---|---|---|---|---|---|---|---|---|---|---|---|---|---|---|---|---|---|---|
| ||||||||||||||||||||
| ||||||||||||||||||||
| ||||||||||||||||||||
| ||||||||||||||||||||
| ||||||||||||||||||||
休診日
日曜・祝日診療
13時まで
大阪・兵庫・福岡で約8万人が利用する歯科医院が京都に!