親知らずは必ず抜かないといけない?「残す」という選択の基準

HOME > 京都Wiki歯ディア > 親知らずは必ず抜かないといけない?「残す」という選択の基準

「親知らずが生えてきた」「奥歯の辺りがズキズキする」。そんな経験をきっかけに、歯科を受診したら「抜きましょう」と言われた方は多いのではないでしょうか。

しかし実際には、すべての親知らずが抜歯の対象になるわけではありません。生え方や位置・状態によっては、あえて抜かないという判断をしたり、将来的に「移植先の歯」として活かせる可能性もあります。「抜かないといけないのかな」と不安に思っている方も、まずは選択肢を知っておくことが大切です。

この記事では、親知らずを「抜く・抜かない」の判断基準と、知っておくと役立つ「移植(自家歯牙移植)」という選択肢についてわかりやすく解説します。

監修:東原とうはら 彩人あやと先生 アップル歯科京都河原町 歯科医師

親知らずとは何か。抜かない前に知っておく基礎知識

親知らずはなぜ問題になることが多いのか

親知らずは、永久歯の中で最も遅く生えてくる歯で、正式には「第三大臼歯」と呼ばれます。奥歯の一番奥、前から数えて8番目に位置することから、歯科では「8番」と表記されることもありますが、患者さんには「一番奥の歯」と説明されることの多い歯です。一般的には10代後半から20代前半にかけて生えてくることが多く、人によっては4本すべて生えない場合もあります。

問題が起きやすい原因のひとつは、顎のスペース不足にあります。現代人は食生活の変化によって顎が小さくなる傾向にあり、最後に生えてくる親知らずが収まりきらず、斜めや横向きに生えてしまうケースが少なくありません。

斜めに生えた親知らずは手前の歯(第二大臼歯=親知らずのひとつ手前の奥歯)を圧迫したり、歯ブラシが届きにくい構造となるため、虫歯や歯周病のリスクが高まります。また、歯と歯茎の間に食べかすが溜まりやすく、炎症を繰り返しやすい環境になります。

横向きに生えた親知らずのイメージ

親知らずが腫れる「智歯周囲炎」とは

親知らずが部分的にしか歯茎から出ていない状態では、歯の頭部分が歯茎に覆われた状態(歯冠周囲の炎症)が繰り返されることがあります。これを「智歯周囲炎(ちししゅういえん)」といいます。

智歯周囲炎が起きると、次のような症状があらわれます。

症状 特徴・注意点
奥歯・歯茎の痛み 一時的に軽快することがあるが、再発を繰り返すことが多い
口が開きにくい 炎症が顎周辺の筋肉に波及することで起こる
頬や顎の腫れ 感染が広がると発熱を伴う場合もある
口臭 清掃不良による汚れの停滞や、歯周ポケットからの排膿が原因となることがある

炎症が強い時期には抜歯が行えないため、まず抗菌薬などで炎症を落ち着かせてから抜歯を検討することが一般的です。繰り返す智歯周囲炎は抜歯の適応となる場合が多く、症状が出たら早めに歯科を受診することが大切です。

奥歯の歯茎が腫れているイメージ

「親知らずを抜かない」という選択基準

親知らずを抜かないで残せる条件

「親知らずは生えたら抜くもの」と思っている方も多いですが、すべての親知らずが抜歯の対象ではありません。抜かないという選択肢が成り立つケースも実際にあります。以下のような状態であれば、歯科医師が「経過観察」や「抜かないで残す」という判断をするケースがあります。

親知らずを残せる可能性がある状態

  • まっすぐ正常に生えており、上下でしっかり咬み合っている
  • 虫歯・歯周病がなく、清掃状態が良好に保てている
  • 隣の歯(第二大臼歯=親知らずのひとつ手前の奥歯)に悪影響を与えていない
  • 炎症や痛みが生じていない
  • 将来的な移植先として温存しておく価値がある
レントゲンで親知らずを確認する歯科医師

親知らずを抜かないでいると問題になるケース

一方で、以下のような状態では抜かないでいることでリスクが高まるため、抜歯を検討する根拠になります。自覚症状がない場合でも、検査によって発覚することがあります。

状態 抜歯が検討される理由
斜め・横向きに生えている 手前の歯への圧迫、清掃不良による虫歯・歯周病リスク
完全に骨の中に埋まっている(埋伏歯) 骨の中で嚢胞(のうほう)を形成するリスクがある場合
智歯周囲炎を繰り返している 炎症のたびに周囲の骨が溶けるリスクがある
矯正治療を予定している 歯並びへの干渉・後戻りの原因になる可能性がある
手前の歯(親知らずのひとつ手前の奥歯)に虫歯が生じている 親知らずが原因で隣の奥歯に虫歯が生じているケース

「痛みがないから抜かないでいい」と考えていても、レントゲンを撮ると隣の歯が溶けていた、というケースも少なくありません。抜かないまま放置するリスクを知るためにも、定期検診でのレントゲン確認が早期発見・早期対応につながります。

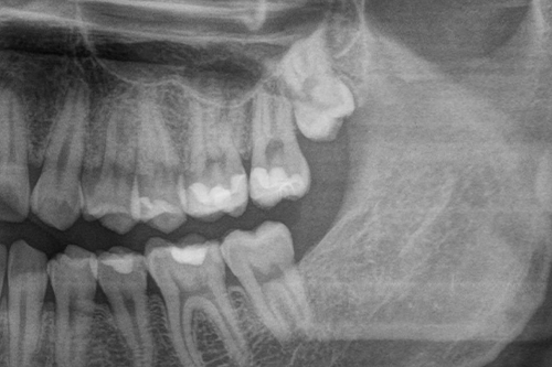
斜めに生えた親知らずのパノラマレントゲン

親知らずの移植について

親知らずの「自家歯牙移植」とは

「自家歯牙移植(じかしがいしょく)」とは、ご自身の歯(主に親知らず)を別の場所に移植する治療です。奥歯など他の歯が抜けてしまった際に、温存していた親知らずを移植することで自分の歯で噛める状態を取り戻せる可能性があります。

インプラントや入れ歯が「人工物で補う」治療であるのに対し、自家歯牙移植は自分の歯を使うため、自然な感触に近い噛み心地が期待できます。また、条件が合えば保険診療の対象となる場合があります。ただし保険適用には「保存不可能な歯を抜歯するのと同時に、その場所へ親知らずを移植すること(抜歯即時移植)」という条件が必要で、すでに歯が抜けている場所への移植は自由診療となるケースも多いです。

保存不可能になった奥歯の位置に親知らずを移植する自家歯牙移植の流れを示した図

親知らずを抜かないで残せる条件と注意点

親知らず(第三大臼歯)は、すべてが抜歯の対象になるわけではなく、条件によっては保存し将来的に活用できる場合があります。特に、自家歯牙移植に利用できるケースでは、あえて抜かないで残しておくことが検討されます。

自家歯牙移植にはいくつかの適応条件があり、すべての方が対象となるわけではありません。主な目安としては、以下の点が挙げられます。

移植の主な適応条件(目安)

  • 移植する親知らずの歯根が未完成、もしくは完成直後であること
  • 移植先に十分な骨量と適切なスペースが確保できること
  • 移植先に炎症・感染がないこと
  • 全身的な健康状態が良好であること
歯科医師とのカウンセリングの様子

親知らずの抜歯が必要になったら

親知らずの抜歯について

親知らずの抜歯は、一般的な歯科治療と同様に局所麻酔を使用して行います。麻酔が十分に効いていれば、抜歯中に痛みを感じることはほとんどありません。

ただし、抜歯の難易度は生え方によって大きく異なります。まっすぐ生えている場合は比較的短時間で終わることが多いですが、横向きや骨の中に深く埋まっているケース(埋伏歯)では、歯茎の切開・骨の調整・歯の分割などが必要になる場合があります。下記は一般的に知られている難易度の目安です。

難易度低

一般的に比較的対応しやすいとされるケース

まっすぐ生えた上顎の親知らず(抜歯前)

まっすぐ生えている
(上顎)

骨が比較的柔らかく、抜きやすい向きに生えていることが多いため、短時間で終わるケースが多いとされています。

難易度中

上顎よりやや難易度が上がるとされるケース

まっすぐ生えた下顎の親知らず(抜歯前)

まっすぐ生えている
(下顎)

下顎は骨が硬く、大きな神経(下歯槽神経=下顎の感覚を担う神経)が近くを通るため、上顎に比べると一般的に難易度が高いとされています。

難易度やや高

切開・分割が必要になることが多いケース

斜めに生えた下顎の親知らず(抜歯前)

斜めに生えている
(下顎)

歯茎の切開や歯の分割が必要になることが多く、術後の腫れや痛みも出やすいとされています。事前のCT検査による確認が重要です。

難易度高

難易度が高く大学病院対応になる場合もあるケース

骨の中に完全に埋まった親知らず(抜歯前レントゲン)

完全埋伏
(骨の中に完全に埋まっている)

骨を大きく削る必要があり、神経への影響リスクが高い場合は大学病院等での対応が適切とされることがあります。

※処置時間はあくまで目安です。歯の形状・骨の状態・個人差によって大きく異なります。神経(下歯槽神経)に近い位置にある親知らずの場合、ごくまれに術後一時的な感覚の変化(麻痺)が生じることがあります。麻痺や出血のリスクが高い場合は万が一に備え、大学病院等での抜歯が推奨されます。不安な点は事前に担当医にご確認ください。

親知らずを抜いた後の過ごし方と注意点

抜歯後は麻酔が切れてから数時間後に痛みや腫れが出始めることが多いです。処方された痛み止め・抗菌薬は、指示通りに服用してください。特に抗菌薬は感染予防のために飲み切ることが重要です。

術後のセルフケアとして、以下のことに注意してください。

抜歯後に気をつけること

  • 当日の強いうがいは避ける(血餅が流れ「ドライソケット」の原因になる)
  • 傷口を舌で触れない
  • 当日の激しい運動・長風呂・飲酒は控える
  • 食事はやわらかいものにする
  • 痛みや腫れが1週間以上続く場合は再受診する

腫れは通常、抜歯後2〜3日目がピークで、その後徐々に引いていきます。下顎の難症例ほど腫れが出やすい傾向があります。「ドライソケット」とは、抜歯窩にできた血餅(かさぶたのようなもの)が強いうがいなどで剥がれてしまい骨が露出した状態で、強い痛みが続く場合に疑われます。うがいのしすぎが主な原因のひとつとされているため、当日は特に注意してください。この状態になった場合は速やかに受診してください。

親知らず抜歯後に頬を冷やしてケアする患者のイメージ

親知らずのお悩み、まとめ

親知らずは抜かない場合もあるが、判断は歯科医師と相談

  • 親知らずは「必ず抜かなければならない」わけではなく、抜かないで残せる場合もある
  • 正常に生えており清掃できていれば、咬み合わせの邪魔をしなければ抜かないで経過観察という選択肢もある
  • 親知らずは将来、移植(自家歯牙移植)に活かせる可能性があるため抜かないでおくメリットもある
  • 斜め・横向きで隣の歯に影響が出ている場合や、炎症を繰り返す場合は抜かないでいるリスクが高まる
  • 抜歯時の痛みは局所麻酔でコントロール可能で、術後は処方薬の服用・安静が大切
  • 「抜かない」か「抜く」かは自己判断せず、レントゲン・CT検査をもとに歯科医師と相談して決める

親知らずの扱いは、その方の歯の状態・全体的な歯並び・将来の治療計画によって異なります。「痛みがないから放置している」「何度も腫れて困っている」など、お悩みがあればアップル歯科京都河原町にお気軽にご相談ください。レントゲンによる現状確認からご案内しています。

患者へ説明するアップル歯科の歯科医師

京都市下京区・四条河原町の歯医者 アップル歯科京都河原町
歯科口腔外科(親知らず)の詳細はこちら

ご予約はかんたんWEB予約が便利です

タグ: , ,

親知らずは必ず抜かないといけない?「残す」という選択の基準 | 公開日: 2026/04/07 | 更新日: 2026/04/07 | by アップル歯科六本松

このページの関連記事

京都市下京区・四条河原町の歯医者 アップル歯科京都河原町

  • 〒600-8004 京都府京都市下京区奈良物町364 中央四条ビル3階
  • お電話 075-211-1005
  • お支払いには各種クレジットカード・電子マネーが利用出来ます。

診療時間

曜日
診療開始 9:30 9:30 9:30 9:30 9:30 9:30
診療終了 18:30 18:30 13:00 18:30 18:30 17:00

休診日:日曜・祝日 ※日曜・祝日診療は下記診療カレンダーをご覧下さい。

診療カレンダー

2026年 4月
29
30
31
1
2
3
4
5
6
7
8
9
10
11
12
13
14
15
16
17
18
19
20
21
22
23
24
25
26
27
28
29
30
1
2

休診日

日曜・祝日診療

13時まで

アクセス・地図

地図
公共交通機関のご利用が便利です
  • 阪急京都線 京都河原町駅9番出口を出て西へ2分・11番出口をでて北東へすぐ
  • 地下鉄烏丸線 四条駅西改札から東へ徒歩7分
  • 京阪本線 祇園四条駅から西へ徒歩9分
  • バス 四条烏丸バス停から徒歩3分

大阪・兵庫・福岡で約8万人が利用する歯科医院が京都に!

アップル歯科グループ

京都市下京区 河原町周辺の歯科

アップル歯科京都河原町

アップル歯科京都河原町
  • 京都市下京区奈良物町364中央四条ビル3階
  • TEL075-211-1005

大阪市北区 梅田周辺の歯科

梅田アップル歯科

梅田アップル歯科
  • 大阪市北区芝田2-3-9EXCEL UMEDA 2F
  • TEL06-6371-0418

大阪市中央区 難波周辺の歯科

なんばアップル歯科

なんばアップル歯科
  • 大阪市中央区難波千日前15-15BRAVE難波 503
  • TEL06-7777-0200

大阪府 枚方市周辺の歯科

枚方くずはアップル歯科

枚方くずはアップル歯科
  • 枚方市楠葉花園町14-1京阪くずは駅ビル2階
  • TEL072-856-5088

兵庫県 尼崎市周辺の歯科

アップル歯科尼崎駅前

アップル歯科尼崎駅前
  • 尼崎市長洲本通1-4-18ヴィラレオーネ1F
  • TEL06-7777-3748

兵庫県 明石市周辺の歯科

明石アップル歯科

明石アップル歯科
  • 明石市大久保町高丘3-3-1
  • TEL078-935-4182

兵庫県 加古川市周辺の歯科

加古川アップル歯科

加古川アップル歯科
  • 加古川市平岡町土山909-33
  • TEL078-942-4185

兵庫県 神戸市 中央区周辺の歯科

三宮アップル歯科

三宮アップル歯科
  • 神戸市中央区琴ノ緒町5-2-2三信ビル3F
  • TEL078-200-6802

兵庫県 伊丹市周辺の歯科

アップル歯科伊丹駅前

アップル歯科伊丹駅前
  • 伊丹市西台1-1-1伊丹阪急駅ビル4階
  • TEL072-783-5777

福岡県 六本松周辺の歯科

アップル歯科六本松

アップル歯科六本松
  • 福岡県福岡市中央区六本松2丁目5番1号 THE GROVE 3階
  • TEL092-751-2100

Copyight© 2025 Apple Dental Clinic. All Right Reserved.

Page Top