専門医の監修
経験豊富な歯科医師
インプラントはICOI国際インプラント学会専門医、日本口腔インプラント学会専修医、法人理事長吉見哲朗が監修・指導した、経験豊富な歯科医師が治療にあたります。
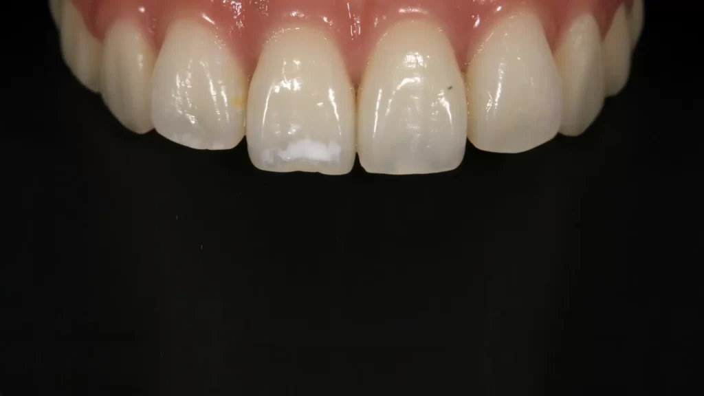
歯の表面に現れる白や茶色の斑点や模様を「ホワイトスポット」と呼びます。
日本人の10人に1人程度に見られる「ホワイトスポット」という歯の表面できる斑点があります。
これは、歯の脱灰(歯のエナメル質からミネラルが溶け出す状況)やエナメル質形成不全症という、歯の病気から生まれれる斑点です。
このホワイトスポットは病気といいつつも、治療する必要がないことがある病態です。そのため、ホワイトスポットがあるからと言って、歯科医院では積極的に治療を行わない場合も多々あります。
しかし、ホワイトスポットは、本人にとっては見た目の問題からコンプレックスに感じる人もいらっしゃいます。アップル歯科では、そのホワイトスポットの治療を、その原因の状態別にご提案しています。
薬剤
ホワイトスポットが比較的浅いところにある場合には、「アイコン」という薬剤を使った治療が有効です。アイコン治療では歯の表面をわずかに研磨しますが、ほとんど削ることはありません。
この薬剤は、酸で溶けたエナメル質(歯の表面の硬い層)にしみ込むことで、白い斑点を目立たなくし、ミネラルの流出を防ぎます。
また、エナメル質が再び酸に弱くなるのを防ぐ働きもあり、ホワイトスポットの再発予防にもつながります。
アイコン治療の費用
自由診療:2歯迄30,000円(税込33,000)
| 治療内容 | アイコンによるホワイトスポット(2歯)の改善 |
|---|---|
| 期間 | 1週間(2回) |
| 費用 | 2歯33,000円(税込) |
| リスク |
|
樹脂
原因が深いところにあるホワイトスポットには、歯の表面を少しだけ削り、コンポジットレジン(歯科用樹脂)で補うダイレクトボンディングという治療を行います。
この方法では、歯の色に合わせた見た目の良いレジンを使用するため、自然で美しい仕上がりが期待できます。
ただし、レジンは欠けたり外れたりすることがあり、時間が経つと変色や劣化が起こるため、将来的に再治療が必要になることもあります。
ダイレクトボンディングの費用
自由診療:1歯30,000〜50,000円(税込33,000〜55,000円)
| 治療内容 | ダイレクトボンディングによるホワイトスポット(2歯)の改善 |
|---|---|
| 期間 | 1週間(2回) |
| 費用 | 2歯66,000円(税込) |
| リスク |
|
セラミック
アイコンやダイレクトボンディングで対応できない広範囲のホワイトスポットには、ラミネートベニアという薄いセラミックのシェルを歯の表面に貼り付ける治療が有効です。
ラミネートベニアは歯にしっかり接着し、自然でツヤのある美しい見た目に仕上がります。さらに、セラミックは汚れが付きにくく、落としやすいという特徴もあります。
セラミックは充分な硬度がありますが、人工素材のため、どうしても割れたり外れたりする可能性はあります。
ラミネートベニアの費用
自由診療:1歯120,000円(税込132,000円)
| 治療内容 | ラミネートベニアによるホワイトスポット(2歯)の改善 |
|---|---|
| 期間 | 2ヶ月(5回) |
| 費用 | 2歯286,000円(税込) |
| リスク |
|
ホワイトスポットの治療は、見た目だけでなく、できている位置や深さ、広がりによって選ぶ方法が変わります。
「アイコン治療を受けたい」というご希望で来院される方も多いですが、実際に診てみると、アイコンでは効果が期待できず、ダイレクトボンディングが適している場合もあります。
ただし、どう治療を進めるかは患者様と相談して決めていきます。たとえば、アイコンで改善するか判断が難しいケースでは、まずアイコンを試してみて、効果が不十分なら差額対応でダイレクトボンディングへ切り替えることも可能です。
どの治療がベストかは、お口の状態とご希望を踏まえた上で、一緒に考えていきましょう。まずはお気軽にご相談ください。
この記事の編集・責任者は歯科医師の東原彩人です。
歯科医師 東原 彩人

歯と歯のあいだにすき間ができる「空隙歯列」という不正咬合があります。これは、いわゆる「すきっ歯」のことで、特に前歯の真ん中(1番と1番の間)にすき間がある状態は「正中離開」と呼ばれます。
「正中」は顔の中心を指し、歯科では前歯の中央部分を意味します。ここのすき間は見た目の印象に大きく関わり、コンプレックスになることもあります。
アップル歯科京都河原町では、こうした正中離開のお悩みに対応する治療を複数ご用意しています。
すきっ歯は虫歯や歯周病のような病気ではないため、治療は保険の適用外となり自由診療になります。
根本から改善したい方には、やはり歯列矯正がおすすめです。咬み合わせの乱れを整えることで、見た目だけでなく機能面の安定も期待できます。
一方で、期間や費用を抑えたい方には、ダイレクトボンディングやラミネートベニアなど、見た目のすき間を短期間でカバーする方法もあります。
どの治療が最適かは、咬み合わせや歯の状態を見たうえでご提案いたします。
専用の樹脂(レジン)を直接歯に盛りつけて、すき間をふさぐ治療です。見た目も自然で、短時間・低コストでできるのが大きな魅力です。
ほとんどのケースで1回の施術で完了(施術後は経過観察にお越しいただく必要があります)し、歯科医師の手作業で丁寧に形を整えるため、仕上がりもきれいです。
ただし、レジンはセラミックより耐久性が劣り、年数が経つと変色や摩耗が起こることもあります。あくまで一時的な処置として考えるのがよいでしょう。
将来的に矯正を検討している方や、まずは手軽に見た目を整えたい方におすすめの選択肢です。
| 治療内容 | ダイレクトボンディングによるによる正中離開の改善治療 |
|---|---|
| 期間 | 1ヶ月・2回(施術+経過観察) |
| 費用 | 自由診療:ダイレクトボンディング×2歯 総額 60,000円(税込66,000円) |
| リスク |
|
ラミネートベニアは、薄いセラミックを歯の表面に貼りつけて見た目を整える治療法です。いわば歯の“付け爪”のような手法で、歯を少しだけ削り、「シェル」と呼ばれるセラミックで隙間をカバーします。
使用するセラミックは見た目がとても自然で、汚れや着色がつきにくく、清掃もしやすいのが特長です。
特にすきっ歯の治療では、必要な部分にだけ貼るパーシャルラミネートベニアを用いることで、自分の歯のような自然な仕上がりが可能になります。
| 治療内容 | ラミネートベニアによる正中離開の改善治療 |
|---|---|
| 期間 | 3ヶ月・8回(カウンセリング・検査含む) |
| 費用 | 自由診療:ラミネートベニア✕2歯 総額 260,000円(税込286,000円) |
| リスク |
|
歯並びを整える治療にはさまざまな方法がありますが、前歯のすきっ歯にはマウスピース矯正「インビザラインgo」が特に向いています。もちろんワイヤー矯正も可能ですが、目立ちにくさや快適さ・期間・費用の面で優位性がでやすい装置です。
インビザラインgoは透明で目立たず、取り外しも可能なため、日常生活にほとんど支障がありません。費用も抑えやすく、治療期間も約半年と比較的スピーディーに完了します。
| 治療内容 | インビザラインgoによる空隙歯列の歯列矯正 |
|---|---|
| 期間 | 6ヶ月(通院7回) |
| 費用 | 自由診療 税込440,000円 |
| リスク |
|
すきっ歯は不正咬合の一種ですが、必ずしも治療が必要なわけではありません。日常生活に支障がないケースも多く見られます。
とはいえ、平成28年の調査では約1割がすきっ歯であるという結果(平成28年 歯科疾患実態調査結果の概要)を示したデータもあります。
すきっ歯の治療には、矯正以外にも、すき間を自然にカバーする方法や、短期間で対応できる選択肢もあります。
まずは一度、あなたのお悩みをお聞かせください。ライフスタイルに合わせた治療法をご提案いたします。
この記事の編集・責任者は歯科医師の東原彩人です。
歯科医師 東原 彩人

「通院回数をできるだけ減らしたい」「怖くて通えず治療が進まない」。そんなお悩みに応えるため、当院では短期集中歯科治療という診療スタイルをご用意しています。1回の診療時間を長く確保し、複数の処置をまとめて行うことで、結果として来院回数の削減を目指します。
一般的な歯科では1回あたり約20分が目安ですが、当院は保険診療で30分、自由診療では45〜90分の枠を標準とし、治療の前後工程(説明・麻酔・準備・記録)まで含めて効率化をしています。まとめて進めることで、治療の中断や先延ばしを防ぎ、虫歯・歯周病の悪化による「通院の長期化」を抑えます。
忙しさや不安で通院が途切れがちな方、複数の歯に治療が必要な方、イベントや仕事に合わせて短期間で集中的に治したい方におすすめの方法です。治療の安全性と品質を担保しながら、無理のない計画でゴールを明確にしていきます。
次のような方が利用されています。
※1日に多くの処置をまとめますが、すべてが1回で完了するわけではありません。安全性を優先したうえで、通院回数を最小限に抑える治療計画を立てます。
通常は複数回に分ける処置を長時間の診療枠で集中的に行います。必要に応じて静脈内鎮静法(点滴による鎮静)を併用し、恐怖心や不快感を抑えながら治療を進めます。
1回で治療が終わるわけではありませんが、診断→治療→仮歯/仮封→最終修復といった流れを計画的にまとめることで、全体の来院回数を大きく減らせます。口腔内の状況、必要な処置量、補綴物(詰め物・被せ物)の製作期間を踏まえ、無理のないスケジュールをご提案します。
治療後は3〜4ヶ月ごとの定期検診とクリーニング(プロケア)を推奨しています。むし歯・歯周病の予防と早期治療が、結果的に通院回数を減らす最善策です。

| 1回の治療時間 | 治療費用(自由診療) |
|---|---|
| 2時間 | 40,000円(税込44,000円)+治療費 |
| 4時間 | 80,000円(税込88,000円)+治療費 |
| 8時間 | 160,000円(税込176,000)+治療費 |
|
鎮静麻酔一式
※歯科麻酔医を手配した場合 |
100,000円〜200,000円 (税込110,000円〜220,000円) ※内容に応じてお見積りします |
|---|
費用は、同日に実施する処置量(むし歯・根管・歯周・補綴・外科など)と鎮静の有無で変動します。まずは診査診断にて、短期集中の適否と概算見積りをお伝えします。

問診・口腔内検査・レントゲン/CT・スキャン等で現在の状態を精査します。短期集中をご希望の場合は、必要な治療内容・想定回数・期間・概算費用を丁寧にご説明し、無理のない治療計画を一緒に作成します。
ご相談だけでも歓迎です。ご予約の際は「短期集中歯科治療の相談」とお伝えいただくと、スムーズにご案内ができます。
決定した計画に沿って、長時間の診療枠を活用し、複数の処置を同日に実施します。1回で完了しない場合もありますが、治療の進行度を都度共有し、次回の目標を明確にします。
治療時間が長くなる、または恐怖心が強い場合は、静脈内鎮静法(点滴での鎮静)を併用することがあります。健忘効果により処置中の記憶が曖昧になり、ストレスの少ない環境で治療を受けられます。
治療完了後はメインテナンスへ移行します。3〜4ヶ月ごとの定期検診と専門的なクリーニングで、むし歯・歯周病を予防します。再治療のリスクを抑えることが、将来的な通院回数の削減につながります。
静脈内鎮静法は全身麻酔とは異なり、意識を保ったままうとうととリラックスした状態で受ける鎮静法です。医師の呼びかけに反応できるレベルの意識はありつつ、健忘効果(処置中の記憶が残りにくい作用)が期待できます。治療への恐怖心や緊張、嘔吐反射の強い方にも適しています。
長時間の処置や複数部位の同日治療と相性がよく、短期集中歯科治療の快適性と安全性を高めます。適用可否は既往歴や服用薬、全身状態を確認したうえで判断します。

鎮静下での治療進行
この記事の編集・責任者は歯科医師の東原彩人です。
歯科医師 東原 彩人

アップル歯科のインプラント
専門医の監修
インプラントはICOI国際インプラント学会専門医、日本口腔インプラント学会専修医、法人理事長吉見哲朗が監修・指導した、経験豊富な歯科医師が治療にあたります。
何でも聞ける
アップル歯科の特徴は、カウンセリングがあることです。インプラントのことやその他のお口のお悩みなど、何でもご相談いただけます。一緒に治療方法を検討し、相談しながら進めます。
メインテナンスもお任せ下さい
アップル歯科は予防を第一に考える歯科医院です。インプラント治療後は、その歯を末永くご使用いただけるよう、定期的なメインテナンスでサポートしていきます。
2024年までの20年間
アップル歯科では2004年の治療開始から、8600本以上のインプラント治療を提供してきました。そのうち、大きな事故や訴訟になったこともありません。安心してお任せください。
相談から治療終了まで
検査・カウンセリング
低被ばくのレントゲンや歯科用CTによって、歯の状態・骨の状態を検査します。問診による身体の状態や習慣などを含めて診査・診断をし、治療についてご説明・相談します。
術前治療
治療の意思が決まりましたら手術に必要な治療を行います。歯石取りや抜歯が先に必要な場合や、その他虫歯・歯周病等がある場合は手術前に治療にあたります。
手術
インプラント埋入手術は麻酔を効かして行うので痛みはほとんどありません。手術時間は埋入本数や骨造成の有無によって異なりますが、早い方なら30分程度で終わります。
最終補綴
手術後は免荷(骨が結合するのを待つ)期間を経て型取りを行い、最終のキレイは歯を作り、セットすれば完了です。治療後はメインテナンスを通じてサポートします。
診断と技術に重きを置いてます
インプラント治療では、埋め込む位置や骨の量、あごの厚み、噛み合わせとのバランスなど、多くの要素を考慮する必要があります。
これらを正確に把握するために、3次元の画像診断(CT検査)は欠かせません。アップル歯科では、このCT画像を使ってインプラントが可能かどうかをすぐに判断し、神経を避けた適切な深さや角度を計算したうえで、綿密な治療計画を立てています。
アップル歯科のインプラント治療は、単に失った歯1本を補うのではなく、お口全体のバランスを考えたうえで計画を立てます。
歯が抜けた場所にただ埋めるのではなく、インプラントが長く機能し、しっかり噛めるようにすることを重視しています。私たちのインプラント治療は、「歯を補う」だけでなく、「お口全体を支える」ことを目的としています。
アップル歯科で使用するストローマン社とノーベルバイオケア社のインプラントにはメーカーによる生涯保証がついています。ですから万が一インプラントそのものが折れたり・割れたりした場合は、生涯にわたり無償でメーカーに請求することができます。
ただし、経年によって脱落したり、被せ物が割れたりした場合は、メーカー保証の対象外となります。そこでアップル歯科では、手術後の年数に応じ、10年までの再治療について、一部から全部を保証する制度をご用意しています。
アップル歯科のインプラント治療は、完全個室の特別診察室で行います。他の患者さんの視線を気にせずに、リラックスした環境で治療を受けていただけます。
その他、滅菌設備やインプラント手術関連の設備を充実させており、短時間で精密な治療を安全に行うための環境を整えています。
アップル歯科はインプラント治療に強みを持っていますが、何より予防を重視する歯科医院です。
治療して終わりではなく、インプラントを長く使い続けるため、そして他の天然歯を守るために、定期的なメインテナンスに力を入れています。
担当の歯科医師と歯科衛生士がパートナーとなり、年に3〜4回ほどチェックとケアを行い、良好な口内環境を維持できるようサポートいたします。
アップル歯科六本松では、骨が薄く難しいとされる前歯部のインプラント治療にも積極的に対応しています。
骨造成(骨を増やす処置)や自家骨移植(ご自身の骨を使った移植)、もちろん前歯のインプラントにも対応可能ですので、お気軽にご相談ください。
検査を行ったうえで、骨造成や移植の必要性、施術内容、インプラントの可否について丁寧にご説明いたします。
器具から人へ、人から患者様への感染を防ぎます。
歯科治療では、むし歯の切削や歯ぐきの処置などで、唾液や血液、それに含まれる菌が器具に付着することがあります。
そのため歯科医院では、器具の洗浄だけでなくすべての微生物を死滅させる「滅菌」や病原性微生物を減らし、感染力を失わせる「消毒」を行うことが重要です。当院では、器具を介して患者様同士やスタッフから患者様への感染を防ぐため、厳しい滅菌基準を設けています。
お口の中に入る器具はすべて滅菌し、感染リスクに応じて、滅菌・消毒・除菌を適切に使い分け、院内感染の予防に努めています。
下記費用には手術代・抜糸代・被せ物代・仮歯代・麻酔代が含まれています
インプラント治療は公的医療保険適用外の自由診療です
アップル歯科京都河原町では、お支払い回数に応じた3つの分割プランをご用意しています。
支払回数:最大5回・(矯正は最大10回)
金利0円
デンタルローンを使わず、医院内で分割してお支払いいただくプランです。
※金利・手数料はかかりません。
支払回数:最大36回(均等払い)
金利0円
36回までに支払いを完了することで金利0円でデンタルローンを利用するプランです。
※金利・手数料はかかりません。
支払回数:最大120回
年率4.5%
長期でゆっくり支払いたい方のためのデンタルローンプランです。
※金利・手数料がかかります。
※年率は選択金融機関により異なる場合があります。
その他、クレジットカードによる分割払いにも対応しています。手数料についてはカード会社へご確認ください。
インプラントの症例写真
Before
After
治療の内容:インプラント治療1本と骨造成、ホームホワイトニング。
治療の期間:9ヶ月・11回(カウンセリング・検査・歯周病治療含む)
治療の費用:自由診療:スタンダードインプラント✕1歯+骨造成+ホームホワイトニング 合計 475,000円(税込522,500円)
※治療当時の費用から現在の価格に変換してします。
リスク・副作用:下記に記載
Before
After
治療の内容:ベーシックインプラント×5歯+骨造成(両側)+セラミッククラウン×1歯
治療の期間:7ヶ月・8回(カウンセリング・検査を含む)
治療の費用:自由診療 総額1,930,000円(税込2,123,000円)
※治療当時の費用から現在の価格に変換してします。
リスク・副作用:下記に記載
インプラント治療をご検討中の方へ
インプラント治療とは、人工の歯根をあごの骨に埋め込み、その上に人工の歯を取り付けて噛む機能を回復させる方法です。
インプラントのメリット・デメリット・リスク
メリット
デメリット
起こり得るリスク・注意点
この記事の編集・責任者は歯科医師の東原彩人です。
歯科医師 東原 彩人

顎の正しい成長を促し、キレイに歯が並ぶ土台を作る小児矯正
一般的なお子様の歯の矯正
顎を広げる装置や、歯の移動を促す装置を使って、お子様の顎の成長を正常に促し、正しい位置に歯が並ぶお手伝いをする矯正治療。
後天的な不正歯列を予防
マウスピースや口腔筋のトレーニングで、習癖や舌癖など、後天的な不正咬合の原因を取り除き、顎の正しい成長を助ける矯正治療。
顎の成長を促し、歯を移動
目立たない透明のマウスピース型矯正装置を使って、顎の成長を促しながら歯を正しい位置に並べる、新しい小児矯正装置。
| 矯正装置 | お子様の現在の歯並び・咬み合わせやキャラクターを考慮し、一人ひとりに適した治療をご提案します。 |
|---|---|
| 標準治療費 | 歯列育形成 40万円(税込44万円)1〜2ヶ月に1度の調整料税込5,500円 難症例50万円(税込55万円) ※トレーニング矯正は歯列育形成に含まれます |
| マウスピース矯正 50万円(税込55万円)※調整料込 |
|
| 期間 | 2〜4年マウスピース矯正は18ヶ月 |
| 回数 | 36〜48回マウスピース矯正は10〜15回 |
実は小児矯正と成人矯正は、同じ矯正でも全く異なります。小児矯正は、顎の成長を促し、歯がキレイに並ぶための条件を整える矯正で、顎が成長するからこそ行える矯正です。
反対に成長が終わってしまってから行う成人矯正は、顎の成長が期待できないため、なんとかスペースを作って歯を並べることになります。その「スペースを作る方法」の一つが抜歯です。
成人してからの矯正は、抜歯をして矯正をする確率が格段に高くなります。歯は通常片顎14本ずつで咬み合わせを形成しますが、抜歯矯正は12本ずつで咬み合わせを作る治療になります。
もちろん、12本ずつでも咬み合わせを作ることはできますが、抜歯をしないに越したことはありません。つまり、この抜歯を回避できる可能性を高めるのが、小児矯正の大きな役割の一つといえます。
子どもの矯正装置
大人の矯正装置
子どもの歯並びを整えるタイミングは、乳歯と永久歯が混在する「混合歯列期」に検討します。これはおおよそ5歳から12歳頃で、開始の時期はお子さまの成長や咬み合わせの状態によって異なります。
一般的には、前歯(上・下ともに2本ずつ)と、奥歯の6番目(第一大臼歯)が永久歯として生えてきた時期が、矯正開始の目安となります。10歳を過ぎると顎の成長が止まり始めることもあるため、見逃さないように定期検診を受けておくことが大切です。
なお、「反対咬合(受け口)」の場合は、より早い段階、乳歯の時期から治療を始めるのが望ましいケースもあります。お子さまの噛み合わせに不安がある方、ご家族に受け口の方がいる場合は、お早めにご相談ください。
アップル歯科では、お子様の健康なお口づくりのため、予防歯科を推奨しています。
小児矯正は、矯正を考えるタイミング・始めるタイミングが難しい治療です。そのため、なるべく子どものうちから予防歯科で歯医者に通うことに慣れていただき、矯正を考えるタイミングで歯並びに問題があれば、矯正治療をするかどうか、親御さんとご相談するようにしています。もちろん「しない」という選択肢もあります。
現在、歯科に通われておらず、お子様の歯並びが気になられているようでしたらお早めにご相談ください。小学生高学年になってくると、小児矯正では間に合わないケースもあります。
矯正は無料相談も承っています。「一度相談だけ」でも結構です。お子様の歯並びが気になったら、お気軽に相談にお越しください。
この記事の編集・責任者は歯科医師の東原彩人です。
歯科医師 東原 彩人

目立たない・取り外しできる装置でお子様の矯正
ほとんど透明で取り外し可
ほぼ透明のマウスピース型矯正装置で、装着していることが気づかれにくい装置です。多感な時期でも見た目を気にすることなく矯正できます。
弱い力でゆっくり矯正
インビザライン・ファーストは徐々に動かすから痛みが少ない装置です。金属のワイヤーが切れるなどの、装置のトラブルも抑えられます。
Ⅰ期治療は概ね18ヶ月
インビザライン・ファーストのフェーズⅠは概ね18ヶ月。従来までのⅠ期矯正は最大3年程度と治療期間も短くなることが多いです。
| 装置の特徴 | 透明で目立ちにくく、取り外し可能なマウスピース型矯正装置。 |
|---|---|
| 標準治療費 | 50万円(税込55万円)※トータルフィー(調整量込) |
| 標準治療費 | フェーズⅠ 18ヶ月程度 |
| フェーズⅡ 2〜3年必要に応じ、選択制 |
|
| 通院頻度 | 1〜3ヶ月に1度(フェーズⅠ合計10〜15回) |
インビザライン・ファーストは、混合歯列期という、永久歯と乳歯が入り混じった状態の時期に行うお子様向けのマウスピース型矯正装置です。
従来の矯正装置は、就寝時や一日数時間の装置装着でしたが、インビザラインは透明で目立ちにくい装置で、通学時や習い事の最中にも矯正装置を装着できます。
そのため、Ⅰ期治療の期間は18ヶ月と短く、却ってお子様への負担を抑えることができます。
また、従来までの歯列育形成は、拡大装置で顎の成長を促すものでしたが、インビザライン・ファーストでは、顎を広げながら歯を動かすという、効率的な方法で、お子様の咬み合わせを整えることが可能です。
マウスピース矯正
床矯正装置
アップル歯科にてインビザラインファーストによる小児矯正を行った症例写真です。
Before
After
| 治療の内容 | 11歳男性・インビザライン・ファーストによる叢生の改善 |
|---|---|
| 期間・回数 | 2年・16回(追加アライナー使用期間含む) |
| 費用 | 自由診療:インビザライン・ファースト 660,000円(税込)
※費用は当時の治療費によるものです(2024年11月料金改訂後の費用の場合550,000円) |
| リスク・副作用 |
|
インビザライン・ファーストは、残念ながら現時点ですべてのお子様の矯正治療に適した装置ではありません。
しかし、インビザラインの適用範囲はすさまじいスピードで進化を遂げており、今だめなものが来年にはできるようになっていることもあります。
小児矯正は、始めるタイミングが肝心で、そのタイミングを逃さないためには早めにご相談いただき、お子様の歯の状態をみて然るべき時期になれば矯正を始めることが重要です。
その時期にお子様に適した矯正装置や治療計画を相談いたしますので、まずは相談から始めましょう。アップル歯科では、小児矯正の無料相談を承っています。
この記事の編集・責任者は歯科医師の東原彩人です。
歯科医師 東原 彩人

この記事の編集・責任者は歯科医師の東原彩人です。
歯科医師 東原 彩人

マウスピースで正しい歯並びへ導く
トレーニング矯正は、混合歯列期(乳歯と永久歯が入り混じった生え変わりの時期)に行う矯正で、マウスピースを用いて顎の筋肉の発達を助けたり、舌を正しい位置に導くことで、習癖や誤った顎の成長による歯並びの悪化を防ぎ、正しい歯列に歯が並ぶように導くことを目的とした治療です。
アップル歯科ではお子様のお口の筋肉の成長や顎の状態、舌癖や習癖に応じ、小児矯正(歯列育形成)の一環としてトレーニング矯正を用いることがあります。
トレーニング矯正装置はマウスピース型で、常時装着するものではなく、1日数時間・もしくは就寝時装着するものなどがあります。
| 装置の種類 | ムーシールド 反対咬合(下顎前突)用のマウスピース型矯正装置 |
|---|---|
| プレオルソ 指しゃぶりや口呼吸を抑止し、舌のトレーニングで悪習癖の改善を目的とする装置 | |
| マイオブレース 口呼吸や舌の悪習癖を抑制し、顎の正常な成長を促す装置 | |
| 標準治療費 | 小児矯正(歯列育形成)に含む※小児矯正40万円(税込44万円) ※難症例の場合最大10万円(税込11万円)の難加算が必要になることがあります ※別途1〜2ヶ月に1回の調整日に、調整料として5,000円(税込5,500円)が必要となります |
歯並びが悪くなる原因は大きくわけると「先天的な原因(遺伝や骨格の問題)」と「後天的な原因(習癖や習慣の問題)」によるものに分けられます。
特に後者は、ご両親のが歯並びがよくても、幼少期のクセが原因で悪い歯並びになってしまうという、「止められるはず」だった不正咬合になってしまいます。
しかし、だからといってお子様が無意識に行ってしまうクセや習慣を、常に親御さんが見張って治すというのも現実ではありません。
トレーニング矯正は、そんな習慣や習癖を改善することで、きちんと歯や顎が成長することを促すことを目的として行います。
前歯が前に出て開咬や出っ歯になりやすい
口元が開き、上顎の成長が狭くなる
顎の骨が左右非対称に歪みやすくなる
歯に過度な力がかかり前歯が傾く
前歯がすり減り、歯列が乱れやすくなる
舌の圧で前歯が前に押され開咬になる
お子様の不正咬合の中には、トレーニング矯正だけで改善が見られる場合もあります。
逆に、トレーニング矯正をしても、きちんと歯並びが改善しなかったり、成長とともにまた悪くなってしまう場合もあります。
そのため、当院では一部のトレーニング矯正を除き、小児矯正の一貫としてトレーニング矯正を行うことで、どんな場合でも最後までお子様の咬み合わせが良くなるための治療を提供することが大切だと考え、治療にあたっています。
「お子様の歯並びが悪くなった原因として習癖に心当たりがる」、「年齢を重ねるごとに歯並び悪くなっている」とお考えでしたら、お気軽にご相談ください。お子様にとってどんな矯正が必要なのか、一緒に相談していきましょう。
この記事の編集・責任者は歯科医師の東原彩人です。
歯科医師 東原 彩人

この記事の編集・責任者は歯科医師の東原彩人です。
歯科医師 東原 彩人

目立たない・取り外しができる新しい矯正装置
無料相談でわかる・見える
アップル歯科では無料相談時に、矯正後の歯並びがわかる矯正シミュレーションをお勧めしています。スキャナーでぐるっと一周お口の中を撮影するだけ、15分でできるシミュレーション。
費用や期間が明確
マウスピース矯正には様々な種類がありますが、アップル歯科では患者さ様にどの装置が適切で、費用や期間の目処が一目でわかる、患者様専用の資料をお作りしてお渡ししています。
マウスピース矯正なら
矯正治療というと、ワイヤー矯正の場合食べ物の制限や歯磨きの手間が増えるなど、様々な制約がありましたが、マウスピース矯正ならライフスタイルを維持したまま歯の矯正ができます。
下記にない矯正装置もご相談下さい。
矯正治療は公的医療保険が適用されない自由診療です
歯を並べ、咬み合わせを整えるが難しい症例の場合は、歯の動きを細かにコントロールする必要があるため、お見積り時3万〜11万円(税込)の難加算をさせていただくことがあります。
アップル歯科京都河原町では、お支払い回数に応じた3つの分割プランをご用意しています。
支払回数:最大5回・(矯正は最大10回)
金利0円
デンタルローンを使わず、医院内で分割してお支払いいただくプランです。
※金利・手数料はかかりません。
支払回数:最大36回(均等払い)
金利0円
36回までに支払いを完了することで金利0円でデンタルローンを利用するプランです。
※金利・手数料はかかりません。
支払回数:最大120回
年率4.5%
長期でゆっくり支払いたい方のためのデンタルローンプランです。
※金利・手数料がかかります。
※年率は選択金融機関により異なる場合があります。
その他、クレジットカードによる分割払いにも対応しています。手数料についてはカード会社へご確認ください。
マウスピース矯正で治療ができる咬み合わせ
相談から矯正治療終了まで
矯正相談・検査
まずはご相談にお越しください。無料相談が可能です。ご相談時にiTeroという口腔内スキャナーでお口の中を撮影し、シミュレーション画像を見ながら説明します。
装置の決定
レントゲンや口腔内写真、iTeroで撮った口腔内のデータから、あなたの治療に適した装置をご提案します。費用や期間などに納得いただければ治療計画を作成します。
クリンチェック
綿密に検討した治療計画を患者様に確認していただき、問題がなければマウスピース矯正装置の作成に入ります。クリンチェック完了後、数週間で治療開始となります。
矯正スタート
マウスピース矯正が届いたら治療スタートです。ご使用方法しっかり守っていただければ、予定通り治療が進みます。治療開始後は1〜3ヶ月に1度の通院となります。
気づかれにくい矯正装置で、気がつけばキレイな歯並び
マウスピース矯正(インビザライン)は、基本的に食物を摂るときや歯磨き以外は常に装着していただきます。
「結構長い?」と思うかもしれませんが、付けたり外したりを繰り返すより、付けっぱなしの方が「却って手間が省ける」と思いましょう。
慣れれば、装置を付けていないと違和感があるという人もいらっしゃいます。
透明で目立たないので、初対面であなたが矯正をしていることに気づける人は多くありません。人知れず矯正をして、気がつけばキレイな歯並びになっている、それがマウスピース矯正の大きな特徴です。
マウスピース矯正のもう一つの大きな特徴は、「取り外しができる」こと。
もちろん、ほとんどの時間は装着していただく必要がありますが、例えば食事の際は外して食べられるので、ワイヤー矯正のように気を使ったり物が挟まりやすくなることもありません。
また、歯磨きもこれまで通り(ただししっかり磨いてください)。マウスピースは水と歯ブラシでさっと洗うだけですから、特別セフルケアが面倒になることもありません。
マウスピース矯正は、アライナーというマウスピースを一定期間ごとに取り替えていくことで歯が動いていきます。
1つのアライナーを使用する目安はおよそ2週間。マウスピースの交換は、すなわち次のステージへと進むということです。
1枚ずつマウスピースを消化していくと「歯が少しずつキレイに並び始めている」ことを実感していくことができます。
自身で管理しなければならないという手間もありますが、治療の進行を感じられることは、矯正治療にとって大きなモチベーションとなります。
マウスピース矯正は、ワイヤー矯正のようにワイヤーの張り直しや、細かな主義を必要としないため、矯正開始後の通院回数が少ないのもメリットです。ワイヤーが切れた・装置が取れたというトラブルも比較的少なめです。
通院頻度は1〜3ヶ月に1度。最初や歯の動きが大きい場合は1ヶ月毎に診させて頂くこともありますが、順調に進んでいる期間は通院期間もスパンが長くなります。
ただ、アタッチメントが取れたり、アライナーが「装着できない」「破れた」「紛失した」場合などは、お早めにお越し頂く必要があります。
この記事の編集・責任者は歯科医師の東原彩人です。
歯科医師 東原 彩人

無料矯正相談のご予約はまもなく受付開始
1〜2歯程度の軽微な審美改善や、矯正治療後の後戻り治療等に使用する部分マウスピース矯正。
6番・7番が咬み合っていることを前提に、5番〜5番の歯並びを整えるマウスピース矯正です。
7番が咬み合っていることを前提に、6番〜6番の歯並びを整えるマウスピース矯正です。
矯正治療は公的医療保険が適用されない自由診療です
歯を並べ、咬み合わせを整えるが難しい症例の場合は、歯の動きを細かにコントロールする必要があるため、お見積り時3万〜11万円(税込)の難加算をさせていただくことがあります。
アップル歯科京都河原町では、お支払い回数に応じた3つの分割プランをご用意しています。
支払回数:最大5回・(矯正は最大10回)
金利0円
デンタルローンを使わず、医院内で分割してお支払いいただくプランです。
※金利・手数料はかかりません。
支払回数:最大36回(均等払い)
金利0円
36回までに支払いを完了することで金利0円でデンタルローンを利用するプランです。
※金利・手数料はかかりません。
支払回数:最大120回
年率4.5%
長期でゆっくり支払いたい方のためのデンタルローンプランです。
※金利・手数料がかかります。
※年率は選択金融機関により異なる場合があります。
その他、クレジットカードによる分割払いにも対応しています。手数料についてはカード会社へご確認ください。
費用や期間を大幅に抑えた矯正
奥歯が噛み合っていて、歯を並べるスペースがあることが前提
5〜5番・6〜6番で、歯を並べるスペースがあることが前提
奥歯が噛み合っていることが前提
その他、下顎前突(反対咬合)・開咬・過蓋咬合・交叉咬合など、軽微なものであれば部分矯正で可能な場合もあります。
費用や期間を大幅に抑えた矯正
「前歯だけ少しデコボコがある」「ちょっとだけ出っ歯と言われた」など、気にはなっているけど、治療しなければならいほど悪はない…、そんな咬み合わせでお悩みの方は、ぜひ矯正シミュレーションを受けてみてください。
インビザラインGoやエクスプレスは、そんな「ちょっとの不正咬合」に対応したマウスピース矯正です。「矯正は興味あるけど、大掛かりな装置を付けるのはイヤ」という人や、「歯並びは気になるけど、矯正するほどでも…」という方にオススメの矯正装置です。
インビザラインGoやインビザラインエクスプレスは、通常の矯正装置に比べて費用や治療期間を大幅に抑えることができる矯正装置です。
費用は標準的な全顎治療に比べて半額程度、治療期間も数ヶ月〜1年で歯を並べることができます。
しかも装置は目立たず取り外しもできます。費用や期間、装置の違和感など、「矯正治療の嫌な部分」を抑えることができるのが、部分マウスピース矯正の大きなメリットです。
前歯用のインビザラインGo(プラス含む)が特に得意としているのが「空隙歯列(すきっ歯)」の矯正です。
すきっ歯は、ダイレクトボンディング(樹脂で埋める治療)やラミネートベニア(セラミックシェルを貼り付ける治療)など、更に短期間で治療できる場合もありますが、これらは一過性の(取れる可能性がある)治療です。
また、ラミネートベニアと部分マウスピース矯正の通院回数は、大きく変わるものではありません。同じ5〜6回の通院をするなら、自分の歯を活かした治療で、末永く保てる治療を行いませんか?すきっ歯でお悩みの方には、特におすすめすることが多い治療法です。
費用や期間を大幅に抑えた矯正
「自分の場合、部分マウスピース矯正で治すことができるの?」「まずは治療可能かどうかだけでも知りたい」という方、お気軽に矯正無料相談をご利用ください。
アップル歯科では、無料相談にてマウスピース矯正でどの程度歯が動くのか、実際のお口のデータからシミュレーションを行う事が可能です。
相談したからと行って、必ずしも矯正をしなければならないというわけではありません。無理な勧誘も行いません。シミュレーション画像や歯科医師からの説明を受けた上で、「部分マウスピース矯正以外なら治療しない」という選択肢や「もう少し考える」という選択肢もお選びいただけます。
お気軽にご相談ください。
この記事の編集・責任者は歯科医師の東原彩人です。
歯科医師 東原 彩人

歯列矯正の症例写真
Before
After
治療の内容:マウスピース矯正インビザラインGoによる空隙歯列の改善。
治療の期間:10ヶ月・10回(カウンセリング・検査含む)
治療の費用:自由診療:インビザラインGo 400,000円(税込440,000円)
リスク・副作用:下記に記載
Before
After
治療の内容:インビザラインによる叢生の治療
治療の期間:2年・15回(カウンセリング・検査含む)
治療の費用:自由診療 総額850,000円(税込935,000円)
リスク・副作用:下記に記載
歯列矯正をご検討中の方へ
歯列矯正はワイヤーやマウスピースを用いて少しずつ歯を動かし、咬み合わせを整え見た目を改善する治療です。
インプラントのメリット・デメリット・リスク
メリット
デメリット
起こり得るリスク・注意点
この記事の編集・責任者は歯科医師の東原彩人です。
歯科医師 東原 彩人

iTeroで歯並びをスキャン、シミュレーションを見ながら相談
アップル歯科では、特殊なカメラでお口の中をグルっと撮影することで、口腔内の状態を3Dのデジタルデータとして読み込むことができる「iTero」という光学式口腔内スキャナーを導入しています。
iTeroには様々な機能があり、「歯の型取り代わり」として詰め物や被せ物を作ったり、「近赤外線機能(Niri)」で隠れた虫歯を見つけたり、「咬合クリアランスツール」を使って歯石や歯の磨き残し・咬合面の摩耗状態などを目視で確認することもできます。
事矯正においては、「アウトカムシュミレーター」という、矯正治療の結果の予測をすることに長けていて、矯正治療をするかどうかで悩んでいる人に、マウスピース矯正で自分の歯がどう変わるのか、視覚的に教えてくれます。
矯正シミュレーションは短時間で行えます。また、費用もいただいていません。
撮影は小さなカメラでグルっとお口の中を一周するだけで、嘔吐反射がある人でも撮影できることが多いです。
撮影したデータを使って、わずか数分で矯正治療のシミュレーション画像が経過ととものに映し出されるので、どの程度の期間で、どんな歯並びになるか、予測を確認することができます。
実際に矯正をする前には、このデータに矯正の治療計画をいれることで、更に精度を高めてあなたの矯正治療を管理するツールとなります。
アップル歯科では、特にマウスピース矯正での歯列矯正を検討されている方には、このiTeroを使ったシミュレーションを見ながら矯正相談を受けていただくことをお薦めしています。
マウスピース矯正は、いくら目立たなくなった・痛みが少ないといっても、半年〜数年程度の治療期間を要する治療です。さらにワイヤー矯正と違って、自身でアライナー(マウスピース)の装着を行わなければなりません。そのため、マウスピース矯正はドクターサイドの技術力のみならず、患者様のモチベーションも重要となります。
iTeroによる3D画像で確認することは、自身の歯の動き方や矯正後の状態を知ることで、より矯正に興味を持ち、治療へのモチベーションを高めてくれます。
シミュレーションと矯正相談
検査・ヒアリング
問診票をご入力の上、レントゲンや口腔内写真等、簡単な資料を撮って、それを見ながらご希望やご要望をお伺いしていきます。
iTero撮影
光学式口腔内スキャナーでお口の中をグルっと一周撮影します。撮影時間は5分〜10分程度です。
矯正シミュレーション
撮影後数分で現在のお口の状態と、矯正治療後のシミュレーションが3D画像で見れるようになります。
矯正相談
シミュレーションやレントゲン、資料を見ながら現状や必要な治療・装置・患者様からのご相談にお応えします。
この記事の編集・責任者は歯科医師の東原彩人です。
歯科医師 東原 彩人

この記事の編集・責任者は歯科医師の東原彩人です。
歯科医師 東原 彩人

咬み合わせを整え、歯並びをキレイにする治療
2名体制での矯正治療
アップル歯科の矯正治療は、あなたの担当医と矯正を専門に診る矯正医の2名で治療にあたります。専門的な施術や診断は矯正医が診ながら、治療の進行を担当医がしっかり管理します。
ワイヤー・マウスピース・小児
アップル歯科では、ワイヤー矯正・舌側(裏側)矯正・マウスピース矯正から小児矯正まで、様々な装置を取り揃えています。また、ホワイトニングやセラミック治療も合わせて行えます。
末永くキレイな歯を
アップル歯科は予防を大切に考える歯科医院です。矯正治療後の後戻りを防ぎ、キレイな歯を保つためのメインテナンスも、担当歯科医師・歯科衛生士がしっかり診させていただきます。
アップル歯科グループでは、日本矯正歯科学会 認定医と協力しながら患者様の歯並び改善に努めています。
アップル歯科では見た目だけではなく、咬み合わせも考えた歯列矯正にこだわり、これまでの治療実績で大きな問題も起こっていません。
| 年別 | 2004 | 2005 | 2006 | 2007 | 2008 | 2009 | 2010 | 2011 | 2012 | 2013 | 2014 | 2015 | 2016 | 2017 | 2018 | 2019 | 2020 | 2021 | 2022 | 2023 | 2024 |
|---|---|---|---|---|---|---|---|---|---|---|---|---|---|---|---|---|---|---|---|---|---|
| 症例数 (症例) |
19 | 29 | 38 | 42 | 57 | 43 | 52 | 28 | 18 | 20 | 28 | 43 | 60 | 78 | 101 | 157 | 322 | 446 | 575 | 669 | 626 |
| 合計 3,451症例 | |||||||||||||||||||||
自由診療:標準治療費全顎660,000〜935,000円(税込)
矯正治療は公的医療保険が適用されない自由診療です
全顎矯正

歯を並べ、咬み合わせを整えるが難しい症例の場合は、歯の動きを細かにコントロールする必要があるため、お見積り時3万3,000円〜33万円(税込)の難加算をさせていただくことがあります。
アップル歯科京都河原町では、お支払い回数に応じた3つの分割プランをご用意しています。
支払回数:最大5回・(矯正は最大10回)
金利0円
デンタルローンを使わず、医院内で分割してお支払いいただくプランです。
※金利・手数料はかかりません。
支払回数:最大36回(均等払い)
金利0円
36回までに支払いを完了することで金利0円でデンタルローンを利用するプランです。
※金利・手数料はかかりません。
支払回数:最大120回
年率4.5%
長期でゆっくり支払いたい方のためのデンタルローンプランです。
※金利・手数料がかかります。
※年率は選択金融機関により異なる場合があります。
その他、クレジットカードによる分割払いにも対応しています。手数料についてはカード会社へご確認ください。
こんな歯並び、ご相談ください
ガタガタ・デコボコの歯並び、八重歯や乱ぐい歯。
出っ歯・口ゴボ、上顎前歯が前に突出している。
受け口、下顎の歯が上顎よりも前に出ている。
前歯を閉じることができず、奥歯だけで噛んでいる。
咬み合わせが深く、下顎前歯がほとんど見えない。
すきっ歯、正中離開。歯と歯の間に隙間がある。
相談から矯正終了まで
検査・カウンセリング
レントゲンや口腔内写真・光学式口腔内スキャナーで撮影した歯並びの3D画像や矯正ミュレーションを診ながら患者様のお口の状態や治療の選択肢を説明します。
治療前専門相談
矯正治療を始める前に、矯正担当医(日本矯正歯科学会認定医)による本格的な矯正相談(無料)を行います。治療の意思が固まりましたら矯正治療を開始します。
矯正治療開始
患者様と相談の上決まった矯正装置をお口の中にセットし、矯正生活の始まりです。治療後は、1〜3ヶ月(装置・状態による)に1度程度の通院が必要です。
歯列矯正終了
矯正開始後、早い(軽度)方なら半年程度、通常2〜3年で矯正治療が終了します。治療終了後は後戻りを予防する「リテーナー」という保定装置を装着します。
美しさだけではなく、咬み合わせを考えた歯列矯正
アップル歯科京都河原町は、医院名に「矯正歯科」が付いていません。しかし、標榜にもあるように「矯正歯科」は当院の診療科目です。
これは、歯列矯正だけを行う歯科医院ではないため、あえて屋号に矯正歯科を含んでいません。
つまり矯正以外の治療、虫歯や歯周病、インプラント、セラミックやレジンを使った審美治療、ホワイトニングや予防歯科など、あらゆる歯科治療を患者様に応じて提供する歯科医院です。
歯列矯正治療前後の虫歯や歯周病治療は親知らずの抜歯はもちろん、矯正をしながらホワイトニングをしたり、矯正後に前歯をキレイにやり治したり、あらゆる治療をワンストップでできるのがアップル歯科の今日治療の特徴です。
アップル歯科の矯正治療は、単に「歯並びをキレイする」治療ではありません。歯並び矯正が必要な悪い歯並びは「不正咬合」と言われ、それぞれその種類によってお口や健康にとって悪い影響を持たします。
不正咬合で悩まれる方の多くは、その見た目を治したい一心で相談に来られます。しかし、我々歯科医師から見る不正咬合は、その咬み合わせによって将来的に損なわれるお口の健康の方が気になるのです。
ですからアップル歯科のでは「キレイな歯並びにする」ことはもちろん、「健康的でリスクの低い咬み合わせ」に整えていくことも含めた矯正治療を行います。
一口に「歯列矯正」といっても、実はやり方も使用する道具や装置は、何通りもあります。
例えばワイヤー矯正なら、ブラケットの色や素材、ワイヤーの色、抜歯やアンカースクリューの有無、表側に付けるか舌側に付けるかなど、様々な選択肢があります。
マウスピース矯正でも、現在の咬み合わせの状態に応じて、複数の種類やメーカーがあります。
その他にも小児用の矯正装置や拡大装置、矯正のスピード加速装置など、様々な装置や治療法から、カウンセリングを通じて「患者様にピッタリ」の治療法を、患者様と一緒に見つけていくのがアップル歯科のスタイルです。
アップル歯科では、一般的に矯正治療に必要なパノラマレントゲンやセファログラムの他、歯科用CTやiTeroという光学式口腔内スキャナーなど、より確実に診断するための設備を揃えています。
「矯正治療でCT?」と思われる方もいるかもしれませんが、実は歯列矯正には歯の根の状態や位置を知る必要がある場合もでてきます。iTeroではマウスピース矯正のシミュレーションや治療経過の管理を行うことができます。
また、これらの設備で行った診断の上、あなただけの「矯正治療提案書」という資料を作り、ご自宅に変えられてからもしっかり検討できるわかりやすい資料をお渡しします。
様々な設備・装置で、あなたの矯正ライフをしっかりサポートしていきます。
矯正治療は、治療後に「保定期間」というキレイに並べた歯が後戻りしようとする作用を防止する装置を装着する期間があります。
また、せっかくキレイになった歯を、末永く・健康に保つためには、定期的なクリーニング・予防歯科が必要です。
アップル歯科は「予防を第一」に考える歯科医院です。矯正治療が終わったあとは、矯正後のメインテナンスを兼ねながら、あなたの担当となる歯科衛生士が、末永く患者様のお口の健康をサポートしていきます。
この記事の編集・責任者は歯科医師の東原彩人です。
歯科医師 東原 彩人

Before
After
治療の内容:マウスピース矯正インビザラインGoによる空隙歯列の改善。
治療の期間:10ヶ月・10回(カウンセリング・検査含む)
治療の費用:自由診療:インビザラインGo 400,000円(税込440,000円)
リスク・副作用:下記に記載
Before
After
治療の内容:ワイヤー矯正(クリアブラケット)による上顎前突の歯列矯正
治療の期間:3年2ヶ月・32回(カウンセリング・検査・調整料28回含む)
治療の費用:自由診療 総額860,000円(税込946,000円)※調整料28回分含む
※治療当時の費用から現在の価格に変換してします。
リスク・副作用:下記に記載
Before
After
治療の内容:インビザラインによる叢生の治療
治療の期間:2年・15回(カウンセリング・検査含む)
治療の費用:自由診療 総額850,000円(税込935,000円)
リスク・副作用:下記に記載
歯列矯正をご検討中の方へ
歯列矯正はワイヤーやマウスピースを用いて少しずつ歯を動かし、咬み合わせを整え見た目を改善する治療です。
インプラントのメリット・デメリット・リスク
メリット
デメリット
起こり得るリスク・注意点
この記事の編集・責任者は歯科医師の東原彩人です。
歯科医師 東原 彩人

この記事の編集・責任者は歯科医師の東原彩人です。
歯科医師 東原 彩人

オールオン4とフルマウスインプラント
虫歯や歯周病、外傷などで、ほとんどの歯を失ってしまった方の治療としては、保険診療なら入れ歯治療となります。しかし一般的な入れ歯は、外れやすくなったり壊れたり、合わなくなるなど、不満をお持ちの方も多くいらっしゃいます。
そこで、しっかり噛めて、見た目や滑舌を回復する手段の一つがインプラントを使った全顎治療です。
インプラントを使った全顎治療は、しっかり歯冠部分を固定することができるため、天然の歯に近い咀嚼力や、入れ歯のように外れることがない固定力を持っているため、毎食後に外して洗浄したり、手入れをする必要はありません。
インプラントを使った全顎治療には、主に4本のインプラントにすべての歯を並べるオールオン4と、人工歯根の上に被せ物をブリッジでつなげるフルマウスインプラントがあります。
4本のインプラントにすべての歯
下顎4本(上顎6本)のインプラントに歯肉付の12本の上部構造(歯冠+歯肉)を並べる治療です。インプラントの本数が少ない分、費用が抑えられ、治療期間も短くなります。
6〜7本のインプラントにブリッジ
片顎6〜7本のインプラントに、ブリッジで歯冠部分を並べます。治療期間や費用はかかりますが、自身の歯肉を利用するため天然歯に近い構造で、見た目や咬み合わせを回復できます。
| 治療期間 | 3〜6ヶ月(骨造成が必要な場合は+2〜6ヶ月) |
|---|---|
| 治療回数 | 5〜7回(その他歯周病等の治療は別途通院が必要) |
| 標準治療費 | 片顎 350〜500万円(税込3,850,000〜5,500,000円) ※インプラント本数×34万円〜553800038000 |
| 特記 | ほとんどの場合、手術当日に仮歯が入り、流動食から摂取できます。 |
| 治療期間 | 3〜6ヶ月(骨造成が必要な場合は+2〜6ヶ月) |
|---|---|
| 治療回数 | 5〜7回(その他歯周病等の治療は別途通院が必要) |
| 標準治療費 | 下顎 205万円〜290万円(税込2,255,000〜3,290,000円) |
| 上顎 290万円〜340万円(税込3,190,000〜3,740,000円) | |
| 特記 | ほとんどの場合、手術当日に仮歯が入り、流動食から摂取できます。 |
アップル歯科京都河原町では、お支払い回数に応じた3つの分割プランをご用意しています。
支払回数:最大5回・(矯正は最大10回)
金利0円
デンタルローンを使わず、医院内で分割してお支払いいただくプランです。
※金利・手数料はかかりません。
支払回数:最大36回(均等払い)
金利0円
36回までに支払いを完了することで金利0円でデンタルローンを利用するプランです。
※金利・手数料はかかりません。
支払回数:最大120回
年率4.5%
長期でゆっくり支払いたい方のためのデンタルローンプランです。
※金利・手数料がかかります。
※年率は選択金融機関により異なる場合があります。
その他、クレジットカードによる分割払いにも対応しています。手数料についてはカード会社へご確認ください。
Before
After
治療の内容:上顎スタンダードAll-on-4+下顎エコノミーAll-on-4
治療の期間:1年・18回(カウンセリング・検査含む)
治療の費用:自由診療 総額 4,950,000円(税込5,445,000円)
リスク・副作用:下記に記載
Before
After
治療の内容:スタンダードインプラント×10歯+プレミアムインプラント5歯+骨造成+セラミッククラウン×9歯
治療の期間:7ヶ月・8回(カウンセリング・検査を含む)
治療の費用:自由診療 総額7,930,000円(税込8,723,000円)
※治療当時の費用から現在の価格に変換してします。
リスク・副作用:下記に記載
起こり得るリスク・注意点
アップル歯科では、多くの歯を失ってしまった場合でも、インプラントでしっかり噛めるお口を取りもすことができる、フルマウス治療をご提供しています。
合わない総入れ歯や多数歯欠損は、最初は「我慢しよう」と思っても、好きなものが食べれないストレスや、しっかり噛めないことで起こる弊害が、徐々に心や体を蝕んでしまいます。
「多くの歯を失った」「重度の歯周病で抜歯が必要」とお悩みの方、まずはお気軽にご相談ください。あなたにどんな治療が適切なのか、一緒に考えましょう。
この記事の編集・責任者は歯科医師の東原彩人です。
歯科医師 東原 彩人

この記事の編集・責任者は歯科医師の東原彩人です。
歯科医師 東原 彩人

| 曜日 | 月 | 火 | 水 | 木 | 金 | 土 |
|---|---|---|---|---|---|---|
| 診療開始 | 9:30 | 9:30 | 休診 | 9:30 | 9:30 | 9:30 |
| 診療終了 | 18:30 | 18:30 | 休診 | 18:30 | 18:30 | 17:00 |
休診日:日曜・祝日 ※日曜・祝日診療は下記診療カレンダーをご覧下さい。
| 日 | 月 | 火 | 水 | 木 | 金 | 土 | ||||||||||||||
|---|---|---|---|---|---|---|---|---|---|---|---|---|---|---|---|---|---|---|---|---|
| ||||||||||||||||||||
| ||||||||||||||||||||
| ||||||||||||||||||||
| ||||||||||||||||||||
| ||||||||||||||||||||
休診日
日曜・祝日診療
臨時診療日
大阪・兵庫・福岡で約8万人が利用する歯科医院が京都に!